УЗИ печени с допплерографией

Диагностика печени методом УЗИ
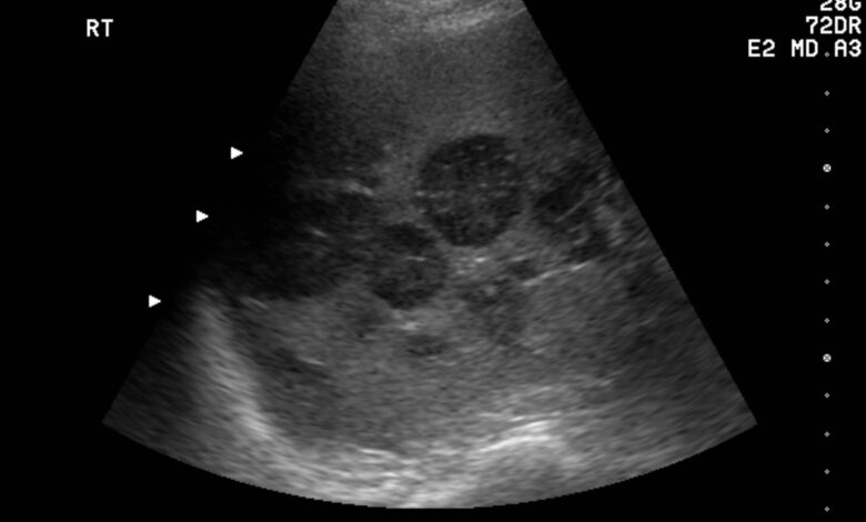
Ультразвуковое исследование (УЗИ) печени с допплерографией является важным методом диагностики заболеваний печени и желчного пузыря. При помощи УЗИ можно получить подробное изображение внутренних органов, определить их размеры, структуру и наличие патологий.
Процедура УЗИ безопасна, неинвазивна и не требует особых подготовительных мероприятий. Пациенту достаточно прийти на прием с пустым желудком или после легкого завтрака.
- При подозрении на заболевания печени (цирроз, гепатит и др.);
- При выявлении увеличения печени или желчного пузыря;
- При контрольном обследовании после лечения печеночных заболеваний.
Преимущества допплерографии при УЗИ печени
Допплерография — это дополнительный метод УЗИ, который позволяет оценить кровоток в сосудах печени. Этот аспект особенно важен при подозрении на цирроз, гепатит или опухоли печени.
Благодаря допплерографии специалист может выявить нарушения кровотока, определить скорость и направление движения крови в сосудах, что помогает в диагностике различных патологий.
Диагностика печени
Ультразвуковое исследование (УЗИ) печени с допплерографией является важным методом диагностики заболеваний печени и желчного пузыря.Преимущества
Допплерография — это дополнительный метод УЗИ, который позволяет оценить кровоток в сосудах печени.Когда показано
Проведение УЗИ печени с допплерографией рекомендуется в следующих случаях: При подозрении на заболевания печени (цирроз, гепатит и др.
Когда показано проведение УЗИ печени с допплерографией
Проведение УЗИ печени с допплерографией рекомендуется в следующих случаях:
Практические рекомендации
УЗИ печени с допплерографией требует не только общего понимания темы, но и внимательного отношения к деталям. На практике больше всего пользы приносит спокойный, последовательный подход: сначала важно разобраться в причинах проблемы или задачи, затем оценить возможные варианты действий и только после этого выбирать конкретные шаги. Такой формат помогает избежать лишней спешки, типичных ошибок и поверхностных решений, которые выглядят удобными лишь на первый взгляд.
Полезно смотреть на тему шире: учитывать индивидуальные особенности, реальные условия, уровень подготовки, доступные ресурсы и возможные ограничения. Именно поэтому хорошие рекомендации всегда строятся не на общих фразах, а на понятных примерах, аккуратных выводах и четких ориентирах. Когда материал объясняет логику действий простым языком, читателю легче применить советы в реальной жизни и получить более заметный результат без лишнего стресса.





