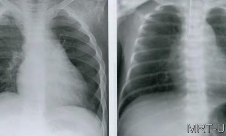
Рентген легких в двух проекциях

Рентген легких: основные аспекты
Исследование легких методом рентгенографии является одним из основных способов диагностики заболеваний органов дыхания. Рентгенологическое обследование позволяет получить информацию о структуре и состоянии легких, а также обнаружить различные патологии.
Два основных типа проекций: прямая (передне-задня) и боковая (боковая).
- Простота и быстрота проведения исследования.
- Возможность выявления наличия жидкости в плевральной полости.
- Оценка состояния сердца и костной ткани грудной клетки.
Рентген легких: основные аспекты в теме «Рентген легких в двух проекциях» важно раскрывать через понятные детали и практические ориентиры. Читателю полезно видеть не только общую мысль, но и конкретные акценты: на что обратить внимание, какие решения чаще оказываются удачными и почему спокойный, последовательный подход обычно дает более уверенный результат.
Прямая (передне-задня) проекция
В прямой проекции рентгеновский луч проходит через переднюю поверхность тела пациента и попадает на пленку, расположенную сзади. Этот метод позволяет оценить состояние всех отделов легких и диафрагмы.
Преимущества прямой проекции:
Рентген легких:
Исследование легких методом рентгенографии является одним из основных способов диагностики заболеваний органов дыхания.Прямая (передне-задня)
В прямой проекции рентгеновский луч проходит через переднюю поверхность тела пациента и попадает на пленку, расположенную сзади.Боковая (боковая)
При боковой проекции рентгеновский луч проходит через боковую поверхность тела пациента.
Боковая (боковая) проекция
При боковой проекции рентгеновский луч проходит через боковую поверхность тела пациента. Этот метод позволяет получить информацию о задних отделах легких, а также о состоянии позвоночника и ребер.
Особенности боковой проекции:
- Позволяет выявить образования в задних отделах легких.
- Используется для диагностики плевральных заболеваний.
- Показывает состояние позвоночника и ребер.
Практические рекомендации
Рентген легких в двух проекциях требует не только общего понимания темы, но и внимательного отношения к деталям. На практике больше всего пользы приносит спокойный, последовательный подход: сначала важно разобраться в причинах проблемы или задачи, затем оценить возможные варианты действий и только после этого выбирать конкретные шаги. Такой формат помогает избежать лишней спешки, типичных ошибок и поверхностных решений, которые выглядят удобными лишь на первый взгляд.
Полезно смотреть на тему шире: учитывать индивидуальные особенности, реальные условия, уровень подготовки, доступные ресурсы и возможные ограничения. Именно поэтому хорошие рекомендации всегда строятся не на общих фразах, а на понятных примерах, аккуратных выводах и четких ориентирах. Когда материал объясняет логику действий простым языком, читателю легче применить советы в реальной жизни и получить более заметный результат без лишнего стресса.





