МРТ головного мозга с ангиографией

Что такое МРТ головного мозга с ангиографией?
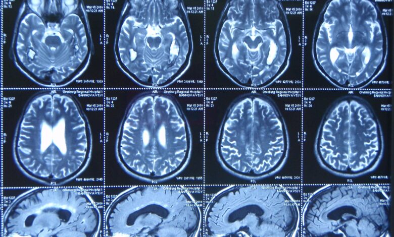
Магнитно-резонансная томография (МРТ) головного мозга с ангиографией — это современное метод исследования, позволяющее получить детальное изображение структур головного мозга и кровеносных сосудов.
Во время процедуры пациент помещается в туннель МРТ-сканера, где с помощью магнитных полей и радиоволн создается изображение мозга и сосудов.
- Подозрение на опухоль головного мозга.
- Сосудистые нарушения мозга.
- Травмы головы.
- Диагностика инсультов.
Что такое МРТ головного мозга с ангиографией? в теме «МРТ головного мозга с ангиографией» важно раскрывать через понятные детали и практические ориентиры. Читателю полезно видеть не только общую мысль, но и конкретные акценты: на что обратить внимание, какие решения чаще оказываются удачными и почему спокойный, последовательный подход обычно дает более уверенный результат.
Показания для проведения МРТ головного мозга с ангиографией
Это исследование назначается врачом в следующих случаях:
МРТ головного мозга с ангиографией — это неинвазивный метод исследования, который широко используется в неврологии и нейрохирургии».
Показания для проведения МРТ головного мозга с ангиографией в теме «МРТ головного мозга с ангиографией» важно раскрывать через понятные детали и практические ориентиры. Читателю полезно видеть не только общую мысль, но и конкретные акценты: на что обратить внимание, какие решения чаще оказываются удачными и почему спокойный, последовательный подход обычно дает более уверенный результат.
Преимущества МРТ головного мозга с ангиографией
Это исследование имеет ряд преимуществ:
Высокая детализация изображения позволяет выявить патологии на ранних стадиях.
Отсутствие ионизирующего излучения делает процедуру безопасной для пациентов любого возраста.
Практические рекомендации
МРТ головного мозга с ангиографией требует не только общего понимания темы, но и внимательного отношения к деталям. На практике больше всего пользы приносит спокойный, последовательный подход: сначала важно разобраться в причинах проблемы или задачи, затем оценить возможные варианты действий и только после этого выбирать конкретные шаги. Такой формат помогает избежать лишней спешки, типичных ошибок и поверхностных решений, которые выглядят удобными лишь на первый взгляд.
Полезно смотреть на тему шире: учитывать индивидуальные особенности, реальные условия, уровень подготовки, доступные ресурсы и возможные ограничения. Именно поэтому хорошие рекомендации всегда строятся не на общих фразах, а на понятных примерах, аккуратных выводах и четких ориентирах. Когда материал объясняет логику действий простым языком, читателю легче применить советы в реальной жизни и получить более заметный результат без лишнего стресса.





